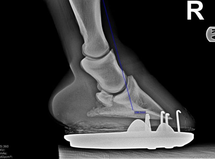
Zwischen den Bilder sind 6 Wochen. Auch wenn Klebebeschläge einfach in der Anwendung scheinen, sind auch diese eine Katastrophe fürs Pferd, wenn das Ausschneiden überhaupt nicht funktioniert. Ich kann nur immer wieder dazu raten immer den Fachmann/Frau fragen. Dieses Pferd sollte zum Schlachter.








